Mis à jour du 19 septembre 2016
Nous avons appris que les pressions abdominales se dirigent vers le plancher pelvien, dans le sens de la gravité terrestre (le postulat gravitationnel).
Mais il est possible d’écrire que les pressions abdominales peuvent se repartir sur toutes les faces de la parabole du petit bassin.

A partir de calques d’IRM obtenues chez des patientes normales et pathologiques, ce travail observationnel ouvre une voie pour accepter l’étude d’un nouveau postulat (le postulat vectoriel et parabolique). Il n’a, à ce jour, aucun niveau des preuves « scientifiques ». Mais ce concept permet de prendre en compte l’élasticité des organes, les modifications des formes de la paroi de la parabole. Le périnée devient un ENSEMBLE FONCTIONNEL.
Le paraboloïde pelvien renvoi les pressions abdominales vers l’os pubien et le sanglage musculaire, il accompagne les plicatures occlusives, il pousse les utérus vers le haut. L’entrainement musculaire épaissit ses berges et élève son centre de gravité. Le relâchement fibro conjonctival, hormonal ou celui de l’âge, modifie ses axes et ouvre la parabole là jusqu’où elle peut l’être, et jusqu’en un cône lors de l’expulsion.
Fibres musculaires lentes, fibres musculaires rapides, tissus visco élastiques modulables, le périnée modifie son architecture de façon « intelligente », selon les circonstances.
L’échographie, l’IRM, pourraient être analysées, modélisés pour un diagnostic individuel. L’arbre thérapeutique décisionnel devrait s’en trouver influencé.
1. Plancher ou Parabole
« LE PELVIS N’A PAS DE PLANCHER, IL EST PARABOLIQUE »
Du postulat gravitationnel au postulat vectoriel.
Un postulat guide les raisonnements de l’anatomie physiologique du périnée. C’est le postulat de la prépondérance de la loi gravitationnelle, effet de l’évolution de l’espèce (C. DARWIN - 1859). Nous sommes passés de la position quadrupède à la position debout.
L’humain(e) est un(e) Homo Erectus (Kamina – ref 1 – P253-257). Au cours de l’évolution la force gravitationnelle se dirige progressivement vers le bas, vers le plancher pelvien. Par excès simplificateur, on en vient à penser que la pression abdominale et la force gravitationnelle ne s’exercent plus que SUR le plancher pelvien. De nombreux paradoxes physiologiques ou pathologiques apparaissent alors.
Peut on revoir le postulat de base ?
Un autre Postulat, le postulat vectoriel ou paraboloïde, peut supposer que les pressions s’exercent sur l’ensemble de l’excavation pelvienne. Ce postulat permettra t’il une approche différente, globale, de la physiologie des trois parties du périnée, l’urologique, la gynécologique, et la proctologique ?
2. Postulat gravitationnel
Le postulat gravitationnel est décrit dans le « Traité d'anatomie de Kamina » (ref 1 P252-257). La pression abdominale et la pression gravitationnelle se dirigent, ensemble, vers le «plancher» pelvien, constitué essentiellement par le groupe des muscles releveurs.
Les tissus visco élastiques solidarisent urètre, vagin et canal anal qui sont mobiles entre eux (réf. 1-2) – (ref 1 - P257). A cette fonction de soutènement élastique, et indépendamment d’elle, s’ajoute la fonction des sphincters qui agissent comme des « robinets » indépendants. L’utérus, est en appui sur l’espace visco élastique pelvien, guidé plus que maintenu par un ensemble ligamentaire lâche.
Des paradoxes sont observés :
- les pessaires, qu’ils soient anneaux, ou pessaires cubes contrecarrent facilement la poussée abdominale ; facilement en comparaison des effets de cette même poussée à l’ accouchement.
- La rééducation des muscles abdominaux et des abducteurs de la cuisse a un effet positif sur le maintien périnéal, même si ces muscles ne font pas partie du complexe des muscles releveurs. Ils ont même un effet sur la continence des urines et des selles bien que éloignés de l'appareil sphinctérien, et tout particulièrement celui de la vessie.
Comment expliquer la survenue d’incontinences urinaires «de novo» après intervention chirurgicale remontant l’utérus pour des patientes ayant de bons sphincters (réf. 3) ? ou inversement, les continences urinaires à sphincter ouvert (réf. 4-5) tels qu’on les observe à l'échographie ?
Plus d’un demi siècle de débats partage toujours les chirurgiens, entre partisans de la chirurgie de suspension par voie haute et ceux de la chirurgie de réparation par voie basse. Depuis plus de 50 ans certains jugent la réparation du périnée indispensable et suffisante (réf. 6), d’autres (réf. 7), inutile et dangereuse.
Partant de l’analyse gravitationnelle « verticale », l’imagerie n’apporte pas un meilleur rationnel que le seul examen clinique (réf. 8- 9 et 10).


3. Postulat parabolique
Partons du principe que les pressions abdominales et gravitationnelles exercent leur effet sur l'ensemble des parois du petit bassin (pas seulement sur le plancher pelvien). Le petit bassin ne se limite plus à un plancher, il devient un ensemble parabolique, le paraboloïde pelvien. La pression abdominale nominale, est faible lorsqu’elle se repartit sur l'ensemble des parois de la coupole pelvienne.
Cette coupole parabolique est « intelligente ». Elle est orientable avec la contraction abdomino fessière et périnéale : la contraction abdominale augmente la pression vers l’espace pelvien. Par un mécanisme reflexe elle est précédée par la contraction des releveurs (de Lancey). Cette contraction ferme l’orifice vulvaire et rétrécit le hiatus urogénital.
Ce rétrécissement avance le bord inferieur du plan de la parabole et oriente la parabole vers le haut. La surpression abdominale est renvoyée vers ... le pubis et les muscles de la sangle abdominale, là même d’ou viennent ces pressions.
Au contraire la coupole s’élargit en cylindre et s’oriente en totalité vers le hiatus urogénital à la phase obstétricale de l’expulsion. Toute la puissance abdominale ne se dirige plus que vers « la sortie ».
Les formes de surface de la coupole, et la direction des vecteurs réfléchis varie en fonction du rétrécissement ou de l'élargissement de cette parabole, plus exactement, de ce paraboloïde pelvien. Ses formes varient en fonction de l’évolution physiologique. L’IRM pourrait modéliser les orientations vectorielles de chaque femme

Et voici des situations exceptionnelles qui s’accommodent mal du principe gravitationnel qui devrait précipiter ces utérus vers le diaphragme, mais qui restent compatibles avec le principe vectoriel.
Deux femmes enceintes faisant « le poirier ».

Selon le principe gravitationnel, la pression abdominale devrait s’ajouter à la pression gravitationnelle. L’utérus descendrais vers le diaphragme thoracique.
Une autre femme :

À condition qu’elle maintienne la pression abdominale au cours de son mouvement, cette athlète peut plaquer l’utérus vers le haut.
La coupole diaphragmatique, plus large que le paraboloïde pelvien, renvoie la pression abdominale vers le haut. La pression abdominale ne s’exerce pas dans le sens de la pression gravitationnelle. L’utérus reste projeté en haut, contre le petit bassin . Ce ne sont pas ses ligaments qui peuvent le maintenir.
4. Les Paraboles - Les vecteurs pelviens


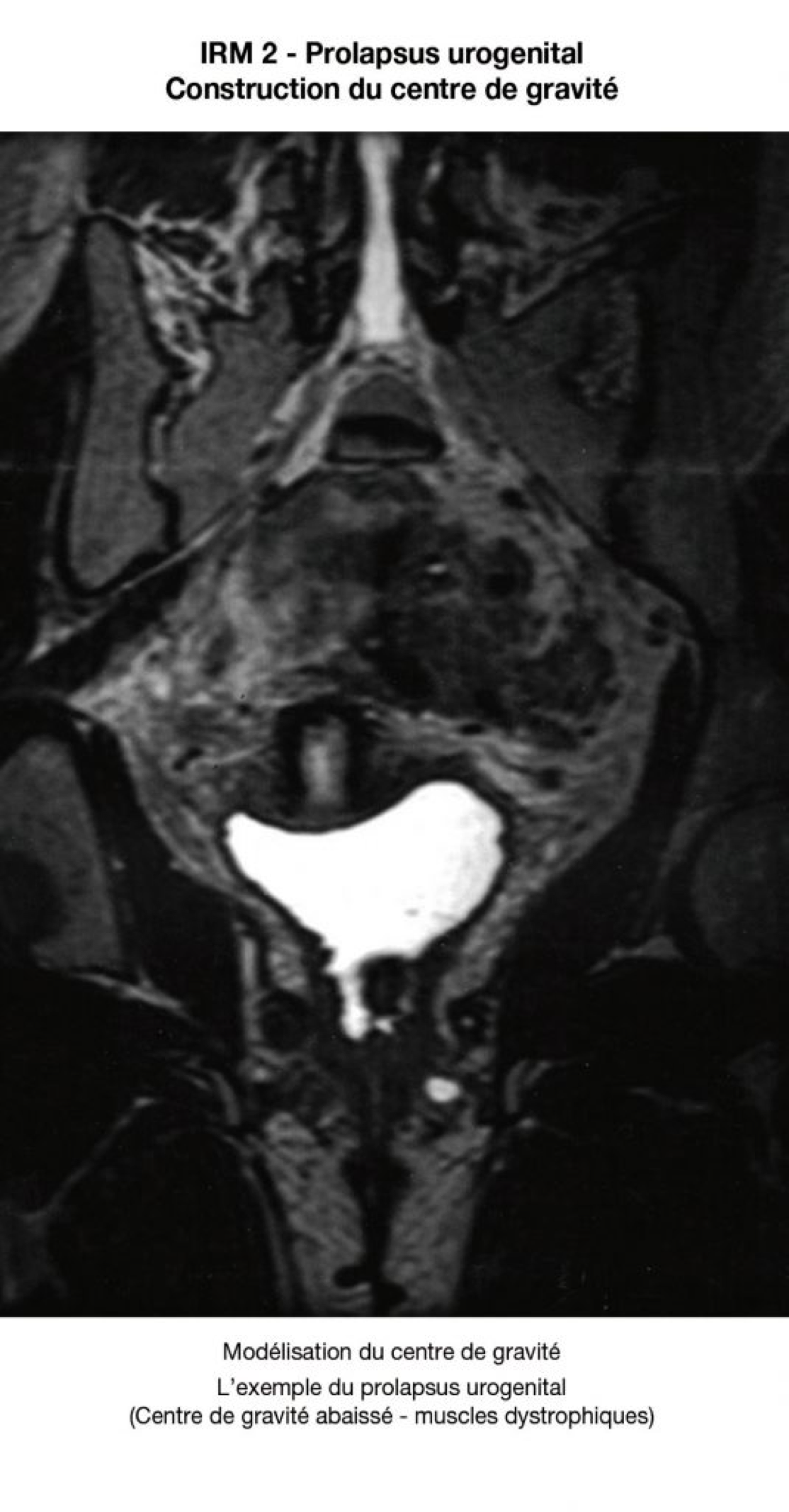
5. Centre de gravité du pelvis
La parabole n’est pas « circulaire », elle est piriforme
Pour que le principe puisse trouver une application clinique, il faut pouvoir dessiner, ou modéliser les vecteurs de pression. La première étape est de déterminer la position du centre de gravité de cette pseudo parabole.
Le centre de gravité n’est pas au centre d'un cercle, car les parois ne sont pas régulières. La parabole a la forme d’une poire inversée. Son centre de gravité se trouve plus ou moins haut, selon que la poire est plus ou mois allongée. Le vecteur des pressions qui s’appliquent dans le petit bassin passera par le centre de gravité du plan de la parabole (centre) ou du paraboloïde (excentré).
La position du centre de gravité du plan de réflexion dépends en arrière de la forme du sacrum (plat, concave, court, long...) et sur les côtés, de la forme (variable) des parois latérales (muscles obturateurs internes et muscles releveurs).
La forme des repères osseux est immuable. Les limites des parties molles, elles, sont variables. Les parties molles ne se limitent pas au plancher pelvien, elles incluent les obturateurs internes .La variation de volume des obturateurs va faire varier la position du centre de gravité du paraboloïde.
Le « vecteur résultant » des forces gravitationnelles et abdominales va être renvoyé plus ou moins haut, plus ou moins bas, selon que ces muscles seront épais (femme jeune - centre de gravité élevé), ou seront atrophiques ou délabrés (centre de gravité abaissé).



6. Centre de gravité G1


7. Centre de gravité G2


8. Périnée normal


LE VECTEUR DES PRESSIONS ABDOMINALES EST BLOQUÉ PAR L’OS PUBIEN ET LA SANGLE
9. Périnée prolapsus


LE VECTEUR DE LA PRESSION ABDOMINALE S'ÉCHAPE À TRAVERS LE HIATUS UROGÉNITAL
10. Périnée d’accouchement


LA PARABOLE SE RÉDUIT ET SES SURFACES DEVIENNENT VERTICALES AUTOUR DE LA PRÉSENTATION. LES VECTEURS DE PRESSION NE SONT PLUS RÉFLÉCHIS PAR DES PAROIS DEVENUES VERTICALES AUTOUR DE LA PRÉSENTATION CÉPHALIQUE. ILS S’ORIENTENT TOUS VERS LE FOND DU CYLINDRE .LA SURFACE DU FOND DU CYLINDRE PELVIEN EST TRÈS INFERIEURE À LA SURFACE DÉVELOPPÉE PAR LES PAROIS DU PARABOLOÏDE. TOUTE LA PRESSION ABDOMINALE SE DIRIGE VERS LE HIATUS UROGÉNITAL.
11. Le périnée intelligent
Le paraboloïde pelvien n'est pas un simple plancher plus ou moins ouvert. Il varie activement ses orientations en fonction des situations physiologiques :
La pression abdominale nominale, forte si elle s’applique sur la présentation fœtale, est faible lorsqu’elle se repartit sur l‘ensemble des parois de la coupole pelvienne. Cette coupole parabolique est « intelligente ».
Elle est orientable avec la contraction abdomino fessière et périnéale. La contraction abdominale est precedée par la contraction reflexe de l’ensemble du complexe musculaire des releveurs (quelques millisecondes – de Lancey).
Cette contraction perineale rétrécit le hiatus urogénital et oriente la coupole vers le haut : vers le pubis et les muscles de la sangle abdominale, la même d’ou viennent les pressions.
Au contraire la coupole s’élargit en cylindre et s’oriente en totalité vers le hiatus urogénital à la phase obstétricale de l’expulsion. Toute la puissance abdominale ne se dirige plus que vers « la sortie »
12. Les périnées

13. Ou sont les sphincters ?
Les sphincters sont ils des « robinets » ou des « propriocepteurs » en mode vectoriel ?
Les fonctions sphinctériennes en mode vectoriel
Le rôle des sphincters est à relire en « mode vectoriel ».
En postulat gravitationnel, les sphincters sont le moteur de la continence. Ils sont fermés, ou s’ouvrent, pour uriner ou pour l’exonération.
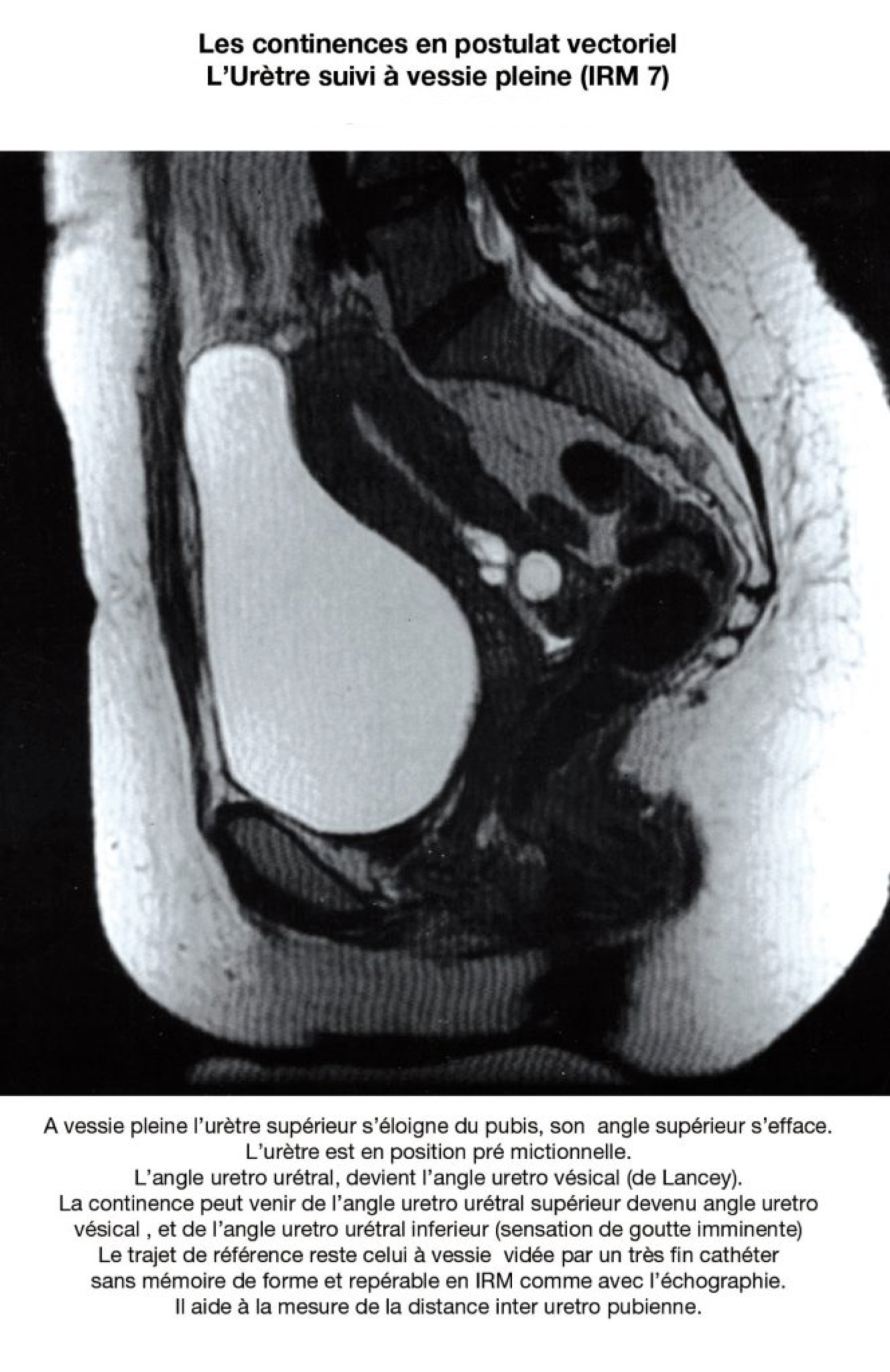
En postulat vectoriel, leur rôle essentiel pourrait être (???) celui de propriocepteurs ; et ils accentueraient et participeraient aux effets de clôture lors des glissements du tissu visco élastique pelvien. Divers arguments plaident en faveur de ces hypothèses : Pour l’urètre : 25% des vessies sont continentes à sphincter ouvert (ref 5). L’urètre continent de l’IRM n’est pas rectiligne. Il décrit un trajet en zigzag et la distance uretro pubienne faible. (Sa plicature peut être un mécanisme de continence). L’urètre continent n’est rectiligne que lors de l’incontinence physiologique, la miction (uretrographie mictionnelle).
Pour le Canal Anal : la contraction périnéale accentue la plicature de l’angle ano rectal. Le relâchement l’efface. Les constipations fonctionnelles peuvent survenir par dyssinergie qui accentue la contraction du releveur au lieu de le relâcher pour exonérer. De fait le cap anal est tiré en haut et vers l‘avant. L’angle se ferme au lieu de s’ouvrir en rectiligne. A l’inverse, les images IRM de l’incontinence anale montrent un alignement ano-rectal.
14. Le zigzag urétral


15. L'incontinence urinaire





EN CAS D’INCONTINENCE, L'URÈTRE NE DÉCRIT PLUS UN ZIGZAG OCCLUSIF.
IL EST RECTILIGNE OU CONCAVE EN AVANT AVEC DISTANCE PUBO URÉTRALE AUGMENTÉE
16. Le zigzag ano rectal
Le canal anal est situé dans un espace visco élastique. La graisse péri rectale facilite les mouvements. Les fibres élévatrices des releveurs ont une direction oblique qui accentue la fermeture du cap anal.
Les contractions des fibres circulaires du releveur (sphincter) rétrécissent le diamètre anal : le plan de la parabole est renvoyé vers le haut et vers l’avant.
Il n’y a pas de transmission des poussées à travers l’orifice anal rendu inexistant du fait de la plicature.
De surcroit, la plicature des parois l’une sur l’autre ferme le canal.
Pour l’exonération, les fibres musculaires des releveurs, fibres lentes, sont capables d’un relâchement actif. Du fait de ce relachement, les fibres circulaires ouvrent la direction vers l'orifice anal. Le plan de la parabole s’en trouve basculé vers l’arrière.
L’orientation du vecteur résultant des forces abdominales et gravitationnels se place dans l’axe de l‘exonération. Le relâchement musculaire permet l’alignement élastique de l’ensemble du canal anal.

17. Incontinence anale

Canal anal : rectiligne et (quasi) disparition du cap.

EN CAS D’INCONTINENCE, LE CANAL ANAL NE DÉCRIT PLUS UN ZIGZAG OCCLUSIF.
18. Statique utérine
Laissons de coté volontairement quelques instants les principes issus de la théorie gravitationnelle, selon lesquels l’utérus repose sur le périnée , et qu’il est maintenu par une suspension apicale. Voyons si il n’existe pas une autre possibilité pour expliquer le maintient de l’utérus (son corps et l’isthme) au sein de l’espace abdominal, quel que soit son volume et sa masse.
L’utérus (corps utérin et Isthme utérin) est anatomiquement situé au dessus de l’espace visco élastique pelvien – qui assemble l’urètre, la paroi vésicale, le vagin, le col intra vaginal de l’utérus, le rectum sous péritonéal, le canal anal.
Le corps et l’isthme utérins sont placés entre le cul de sac de Douglas et le cul de sac vesico utérin. Le corps utérin présente une forme générale ogivale, biodynamique.
Au cours de la poussée abdominale l’utérus est dans un espace isobarique qui correspond parfaitement à la théorie développée par ENHORNING pour l' urètre. Il est entouré de péritoine sur toute sa surface, et les ligaments larges sont trop peu épais pour l’inclure dans l’espace pelvien. Du fait de sa forme ogivale, la construction vectorielle montre qu’il est repoussé vers le haut (l’abdomen), par les valves péritonéales qui viennent d’être décrites.
L’augmentation de pression abdominale ne projette pas l’utérus vers le périnée ; au contraire elle le « soulève », tant que l’isthme utérin reste au dessus de la valve péritonéale ( valve Douglassienne).
L’effet bénéfique de la surélévation utérine par les pessaires cubes prend une tournure logique: le pessaire permet de « remonter » l’effet de la pression abdominale. L’utérus ne descends plus ! Parfois cette correction peut « replacer » les effets de la pression abdominale au niveau de l’isthme uterin et « fermer » un isthme gravidique.
Le même effet peut être obtenu avec les « ceintures de grossesse » : application d’une poussée abdominale bien placée sur la région isthmique ; et élévation de l’ ogive utérine gravide, tendance à refermer l’isthme.
On comprends aussi l’image de la femme enceinte « en poirier » : tant que l’utérus est plaqué par la poussée abdominale contre la paroi, il s’y maintient d’autant mieux que la large coupole diaphragmatique est plus puissante que la petite coupole pelvienne. Mais gare à nous si la pression se relâchait ; au cours de la grossesse : exercice strictement réservé aux grandes sportives entrainées !

19. Conclusion
Ce postulat vectoriel est nouveau ; il peut être le socle d’un rationnel commun aux spécialités concernées par les équilibres et les déséquilibres du petit bassin.
- Rééducation et les effets différents de la trophicité musculaire cuisses – fessiers - releveurs
- L’entretien musculaire et la rééducation abdomino périnéale élèvent le centre de gravité de la parabole pelvienne. Les obturateurs internes, qui sont des muscles abducteurs comme leur nom ne l’indique pas, épaississent le bas de l’excavation pelvienne. Ils élèvent le centre de gravité en renforçant leur trophicité. Ils sont synergiques des fessiers, et de la partie postérieure des releveurs qui contribuent aussi à l’épaississement de la paroi inferieure du pelvis et l’élévation du centre de gravité. L'effet favorable sur la statique pelvienne ne se maintient que tant que l’exercice physique et la trophicité musculaire sont entretenus ; et quand ils peuvent l'être, c’est à dire lorsque des dégâts obstétricaux n’ont pas définitivement altérés les masses musculaires.
- Les adducteurs des cuisses sont synergiques de la partie antérieure des releveurs. Le mouvement de fermeture des cuisses entraine aussi, simultanément et par synergie, une traction de la partie antérieure des obturateurs vers le haut et vers l’avant, qui agit sur le complexe fibro vasculaire de la plaque sous vésicale. Il se produit ainsi un raccourcissement de la distance pubo urétrale et une accentuation « occlusive » du zigzag urétral. L’effet de retenue des adducteurs pourrait s’expliquer de la même façon.
Les envies pressantes tortillent les adducteurs, qui synergiques des releveurs antérieurs, ferment l’urètre en accentuant la plicature retro pubienne. La synergie avec la parie antérieure des releveurs accentue la plicature du zigzag urétral. Mais bien sur l’amélioration globale de la trophicité des releveurs antérieurs et postérieurs, épaissit la partie basse de la paroi musculaire pelvienne et élève le centre de gravité.
- La continence urinaire
- Une logique pour l’indication (temporaire ou prolongée) des différentes formes des pessaires.
- La continence ano rectale
- De nouvelles applications pour les explorations diagnostiques
- L’échographie pour la mesure des directions de l’urètre à vessie vide. Mais il faut que l’urètre soit repérable par voie transperineale (pour ne pas modifier ses angles). Une très fine sonde sans mémoire de forme peut être proposée. L’échographie pourrais aussi corréler la trophicité de muscles releveurs et celle des obturateurs internes pour suivre les progrès de la rééducation, ou déceler des risques d’abaissement du centre de gravité pelvien.
- L'IRM devrait étayer le choix des indications chirurgicales : un logiciel devrait permettre la modélisation du centre de gravité périnéal. Puis en reconstruisant la direction du plan de la parabole, la direction du vecteur des pressions abdominales telles qu’elles sont réfléchies par rapport à la position du hiatus urogénital.
On détermine s’il y a tendance au prolapsus génital, ou bien à l’équilibre du renvoi par l’os pubien et la sangle abdominale. Il deviendrait possible de conduire un arbre décisionnel thérapeutique adapté à chaque cas, et non pas uniformisé comme c’est presque toujours le cas actuellement.
La première étape serait la modélisation matricielle du centre de gravité sur une coupe coronale, c’est à dire proche du plan de réflexion du paraboloïde. La deuxième étape serait la construction du plan de réflexion du paraboloïde pelvien. Le programme établit la direction du vecteur réfléchit, selon les lois physiques de la parabole : le point d'application de la pression abdominale passe par le centre de gravité qui a été reconnu. - Le repositionnement chirurgical sera t il possible sans déséquilibrer le pelvis ?
- Le périnée doit-il être reconstruit, et comment ?
(Note ; les muscles releveurs ont la particularité de pouvoir se contracter simultanément – contraction musculaire reflexe de de Lancey), de pouvoir se contracter indépendamment (contraction périnéale antérieure ou contraction périnéale postérieure), de pouvoir se relâcher simultanément (nutation obstétricale), et même de pouvoir se relâcher indépendamment, pour l’antérieur : (miction orgasme), et pour le postérieur : (exonération orgasme profond).
La continence des urines, l’efficacité de la manœuvre de Bonney et celle des bandelettes sous urétrales trouvent une logique commune : la reconstitution du zigzag urétral, et le raccourcissement de la distance pubo urétrale. L‘échographie, ou l‘IRM devraient permettre la mesure de la distance uretro retro pubienne à vessie vide, et lui donner un sens diagnostique et peut être pronostique. L’effet supposé de clôture, du zigzag urétral permet aussi de comprendre la rapidité de la récupération urinaire post partum, facilitée par la rétraction physiologique rapide et spontanée des ligaments pubo urétraux.
Cette récupération est indépendante de l’effet sur le périnée postérieur.
Elle intervient sans que la longueur du hiatus uro génital n’ait eu le temps de rétrécir de façon significative. Et on observe que la continence urinaire se récupère, même si les vecteurs de pression abdominale restent un tant soit peu orientés vers le prolapsus. La rétraction post hormonale gravidique du tissus visco élastique est plus rapide, plus spontanée et plus efficace que la récupération musculaire ; s’agissant de récupérer le volume ou la trophicité musculaire. Le suivi des effets de la rééducation et de la physiothérapie pourrait être suivi et validé par l’échographie, même si le repérage de l’angle uretro urétral et de la distance uretro pubienne ne peuvent se faire que à vessie vide, et par voie transperineale.
Les anneaux ne supportent pas un périnée défaillant, Ils deviennent des orthèses de « remise en place » du plan de reflexion de la parabole, et prolongent le hiatus uro génital trop béant. Pour les cubes, l’orthèse permet le maintien de l’élévation utérine au dessus de la valve Douglassienne qui le maintiendra. Des pessaires « lunettes paraboliques » devraient pouvoir être fabriqués pour associer la plicature urétrale de maintien de la continence urinaire, et l’élévation utérine du cube (prolapsus ET incontinence urinaire). Un pessaire de positionnement urétral vient d’être commercialisé pour les incontinences urinaires isolées.
Le diagnostic et le traitement de la continence ano rectale trouve sa logique dans la reconstitution des fibres élévatrices du cap anal, qui apparaissent chirurgicalement comme des fibres transversales « sphinctériennes » pré ano rectales. L’imagerie devrait revoir le rôle de cette réparation chirurgicale dans le rétablissement de l’élasticité ano rectale et de l’effet de clôture de la reconstitution du cap anal. Mais on comprend l’inefficacité de toute forme de pessaire.
L’étude vectorielle parabolique permettrais idéalement de proposer ou de contre indiquer une réparation chirurgicale, par les voies naturelles ou par voie haute, avec ou sans prothèse. Ou bien guider les choix vers une orthèse temporaire au fil du suivi des progrès musculaires, ou bien prolongée. Guider la poursuite ou l'abandon de la rééducation, ou les effets des propositions thérapeutiques nouvelles : physiothérapies, projets d‘apports cellulaires...
20. Bibliographie
- 1. Anatomie Clinique – Kamina 2eme Edition ; Tome 4 ; Maloine ed ; 369 pp ; P255 ; P 257.
- 2. Physique des matériaux et continence urinaire à l’effort féminine : nouveaux concepts : 1) l’élasticité sous la vessie. B Guerquin. J. Gynecol obstet biol reprod (2015).
- 3. Incontinence urinaire d’effort de novo après promonto fixation.
Y Bousserguine, Droupy, L. Wagner, K. Bouzeoubaa, P. Costa. Progrès en Urologie (2011), 21, 631-635. - 4. Mecanismes de la continence et de l’incontinence – Cadres nosologiques. Urofrance Presses Universitaires ; 1995-000755-772.
- 6. Anne-Marie LEROI (1), Loic LE NORMAND (2), (1) Pavillon Derocque, Hôpital Charles Nicolle, Rouen, France, (2) Service d’Urologie, Hôtel- Dieu, Nantes, France Prog Urol, 2005, 15, 1, 123-148.
- 6. Traitement chirurgical des prolapsus génitaux ; R.MERGER, J.LEVY, J.MELCHIOR, J.BARRAT, Masson et Cie 1964 ;74 PP ; P10.
- 7. Nouveau traité de technique chirurgicale Tome XIV – H G-Robert Gynécologie – Masson et Cie ed; 1969 ; 820p ; P 681.
- 8. Levator avulsion using a tomographic ultrasound and magnetic resonance – based R R ZHUANG; Y F Song ; ZI Q Chen; Ming Ma; Hui J Huang ; Jin H Chen; Yun M Li. Am J Obstet Gynecol 2011;205: 232.e 1-8.
- 9. Controverse : l’IRM dans le bilan des VEJUX N. Mémoire -DIU Statique pelvienne et urodynamique. 2011, 2012.
- 10. IRM statique et dynamique du plancher pelvien féminin normal et pathologique. Rouanais JP, Marès P, Courtieu C, Maubon A. ; J Gynecol Obstet Biol Reprod 2000 ; 29 : 237-41.
- 11. Levator ani subtende volume : a novel parameter to evaluate levator ani muscle laxoty in pelvic organ prolapse. Am J Obstet Gynecol 2012 ;206 :244.e1-9. – RODRIGUES AA ;BASSALY R; McCULLOUGH M et al.
- 12. Three – dimensional ultra sound appearace of pelvic floor in nuliparous women and post partum women one week after their first delivery. ; LIUF YING T TAO J et all. INT J MED Sci 2014 ; 11(3) :234-239.
- 13. Levaillant JM – Ecole d’échographie 3 D – Service Pr H Fernandez – Le Kremlin Bicêtre ; Gynécologieobstétrique pratique – Paris mars 2016.
- 14. Levator avulsion using a tomographic ultrasound and magnetic resonance – based model. R R ZHUANG; Y F Song ; ZI Q Chen; Ming Ma; Hui J Huang ; Jin H Chen; Yun M Li. Am J Obstet Gynecol 2011;205: e 1-8
- 15. Three dimensional transperineal ultrasonographiy of the pelvic foor. dav V Valsky, Simcha Yagel. J Ultrasound Med 2007 ;26 :1373-1387
- 16. Traumatismes du levator ani après l’accouchement, de l’étirement à l' avulsion : revue de la littérature.S. Billeccq, M P Morel, X Fritel. Prog Urol, 2013, 23, 8, 511-518.
- 17. Three – dimensional ultra sound appearace of pelvic foor in nuliparous women and post partum women one week after their first delivery. ; LIUF YING T TAO J et all. INT J MED Sci 2014 ; 11(3) :234-239.
- 18. Etude anatomique des ligaments pubo – urétraux chez la femme dans la suspension de l’urétre. A de La Taille, V Delmas, JP Lassau, L Boccond-Gibod..Progres en Urologie(1997), 7, 604-610
- 19. The G –spot : an observational MRI pilot BJOG ;Maratos YK, Gombergh R, Cornier E et al. 2016 ; DOI : 10.1111/1471-0528.13864
- 20. http://urologie-fonctionnelle.com
http://www.urologie-cupl.com/pathologies-fonctionnelles/fuites-urinaires-de-la-femme - 21. Multicenter study of tension-free vaginal tape (TVT) for surgical treatment of stress urinary incontinence. Ulmsten U, Falconer C, Johnson P, Jomaa M, Lanner L, Nilsson CG, Olson I ; Int Urogynecol J Pelvic Floor 1998 ; 9(4) :210-3.).
- 22. Traitement chirurgical du prolapsus par promontofixation coelioscopique. Techniques et résultats – L. Wagnera, L. Boileaub, V. Delmasc, F. Haabd, P. Costaa. Prog Urol, 2009, 19, 13, 994-1005 Rapports
- 23. Cornier E, Madelenat P. Hystéropexie selon Kapandji : technique laparoscopique et résultats préliminaires. J Gynecol Obstet Biol Reprod 1994 ; 23 : 378-85. p. 35
- 24. FR 1361111 ; 14/11/2013 ; trocart à usage unique pour la mise en place de prothèse de suspension utérine.
- 25. EP 151754460.3 ; 11/08/2014 ; Dispositif de visualisation de l’angle de clôture medio urétral.
- 26. USA 14/924, 200 ; 27/10/2015 ; Procedure for the modeling of the direction of incident abdominal pressures.
- 27. FR 156175 ; 11/12/2015 ; Pessaire parabolique.
